Cases

CONHEÇA OS CASOS TRATADOS AQUI 
NO INSTITUTO MACHADO
TRATAMENTO INICIAL E FINAL

Confira estes Cases

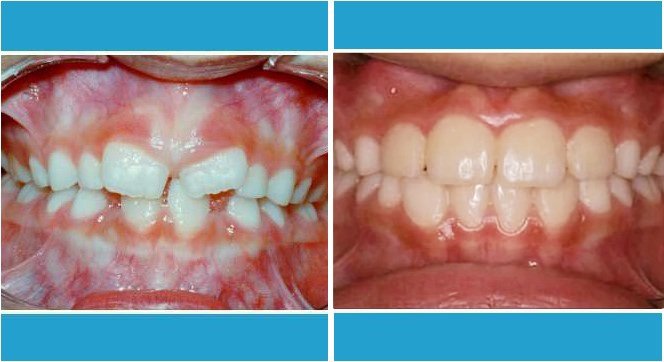
Caso Inicial

Atrofia dos ossos maxilares e consequente falta de espaço para os dentes.

Conclusão

Dentes alinhados, mordida correta e toda a parte funcional corrigida.

Caso Inicial

Micrognatia respiração bucal foi tratado com avanço da mandíbula.

Caso Final

A mandíbula avança melhorando p espaço aéreo retrolingual no vedamento labial.

Caso Inicial

Rinomodelação

Caso Final

Rinomodelação

Contate-nos

© 2022. Instituto Machado. Todos os direitos reservados.

Dr. Rosário Casalenuovo Júnior
Responsavel Técnico | CRO/MT 1900

Redes Sociais
Brasília  / Cuiabá